User Manual Relu® Cloud and Relu® Creator
1 PART I: INTRODUCTION
1.1 Introduction
The Relu ® Cloud is a web-based Patient Management Software for dental Professionals. The Relu® Creator is a web-based, FDA approved and MDR certfied, segmentation software assisted by artificial intelligence developed by Relu BV based in Leuven, Belgium. Additionally, treatment applications are available on the Relu® Cloud; these are intended exclusively for demo purposes and are labeled accordingly.
The software is developed to work best with Chromium-based browsers, such as Google Chrome.
2 PART II: RELU® Cloud
2.1 Make an Account
In order to create a user account on the Relu® Cloud, the user must follow these steps:
- Surf to https://cloud.relu.ai on Google Chrome.

- Click on the button “Register”

- Fill in your work email address and choose a password that contains the following:
- At least 7 characters
- Lower case letters (a-z)
- Upper case letters (A-Z)
- Numbers (0-9)
- One special character ($%&@¶¢“¡ …)

- Then click “SIGN UP”

Fill in your:
- First Name
- Last Name
- Title
- Country
- Occupation
- How you learned about us
- How you want to use this tool.
- Optionally you can fill in your phone number.
Finally check the box “I agree to the End User License Agreement (EULA)” in order to finalise your account set up. You now have the option to skip or follow a short tutorial on the Relu® Creator.

2.2 General Overview

Dropdown Menu: When clicked you can access various functionality such as your account settings, billing, Referall bonuses. You can also logout from Relu® Cloud or access the user manual, EULA and privacy policy.
Patient List: Overview of your patients. You can sort, search and order to navigate your patients.
Help Center: Takes you to the help center, a page where you can access the user manual, the YouTube tutorials and schedule an onboarding session.
Request Assistance: Allows to book an onboarding, report bugs or feature requests.
2.3 Create a Patient and Invite Participants
A patient serves as a way to group files and, potentially, organize them within folders. These files can include 3D images, making them easy to locate and share with colleagues, clients, or patients.
Create a Patient
A new patient is created by clicking the “NEW” button in the top right corner of the patient list and selecting “Patient”. Next, choose a name for the Patient and click Create.

Delete a Patient
Click on the pencil in the bottom right corner of the patient and click the delete button, then press in “DELETE” again to confirm. All included files and folders will be deleted.


Invite participants
To share a patient with colleagues, clients or patients, you should invite them using the “Manage Access” button. Depending on the role you give them, this member will be able to solely view the file or add and edit files.
Open the patient that you would like to share and press on “Manage Access”, click on “Invite Particpant”. Then, fill in their email address, set their role and click SHARE. If invitees did not have an ccount yet they will now receive an email to create an account and the patient will show up inside their own patient list.


Assign a role to a participant
When inviting a participant, you can give them multiple roles or authorisations inside the app.
- Manager: This user can upload, edit, view, and remove files. The user can send invitations to other users
- Contributor: This participant can edit and view files, but can not send invitations
- Viewer: This user can view files
- Owner: The user that created a patient, becomes the Owner and has the same rights as the manager and additionally, can add and remove participants and rename or remove the patient.

Contributors, viewers, and managers can edit the segmentations. However, the software does not support simultaneous modifications of cases. Please review your results carefully before exporting to ensure they are not overwritten by others working on the same file.
2.4 Buy Credits & Pricing
In order to gain access to exporting 3D files that were automatically or manually generated, the user has to purchase credits from Relu. A credit corresponds with 1 EUR.
Pricing
Activating a file means enabling a file to be exported by spending credits.
Depending on what type of file is activated, a different number of credits is required for this activation. Three different options are possible:
- Intraoral scan (IOS) segmentation for 3 Credits
- CT or CBCT scan segmentation for 15 Credits
- Fusion of IOS and CBCT and Facial Scan for 25 Credits


The pricing page can be accessed from the store in the Relu® Cloud by selecting “What can I buy with Credits” or by going to the link: https://cloud.relu.ai/pricing.
Discounts
Depending on the number of credits that are bought at once, a different level of discount may apply. Between 0 and 249 credits, 1 credit costs 1 EUR. At higher prices, discounts apply.
| Credits | Discounts |
|---|---|
| 0 - 249 | 0% |
| 250 - 499 | 5% |
| 500 - 749 | 10% |
| 750 - 999 | 15% |
| 1000 - 4999 | 20% |
| ≥ 5000 | 25% |
Buy credits
In order to buy credits for your account on the Relu® Creator, these steps must be followed:
- Go to the Relu store:
`
- Select your plan, optionally setting a custom amount of credits.
- Fill in the required information that should be included on the invoice.

- Depending on the selected country in the previous step, different payment options will appear. Select the preferred option.

After the payment is completed successfully, refresh the page in order to see the credits appear on the account.
2.5 Upload Files to Relu® Creator from Relu® Cloud
The essence of the Relu® Creator is to upload medical images and to assist in generating a virtual patient from these files using artificial intelligence and other smart algorithms.
Uploading files is free for any type of file. However, a total of 20% of your files need to be activated for you to keep on uploading. To be able to upload more files you need to activate at least one file. Your available credits are taken into account too. Every 25 credits in your account are counted as an activated scan. For example, If you bought 100 credits, you can upload 20 scans before needing to activate a scan. This allows for batch uploading.
Supported input formats:
- CT or CBCT: Single File DICOM, Multi-slice DICOM, NRRD, VTI, NII
- Digital Impressions or Intra Oral Scans: STL or PLY
- Facial Scan: PLY, OBJ
Upload a file inside a patient:
Go to the patient list and select the patient where files should be uploaded or create a new patient
Inside this patient, if desired, you can create or select a folder to organise your scans. You can access this functionality in the dropdown.

Inside of the folder, click “UPLOAD”

Click the box where the file should be uploaded. This will open up your Finder in order to select the required file. Depending on whether your CBCT scan is a multi-slice DICOM or a single file DICOM, choose between “Multi-slice DICOM” or “Single File DICOM”. The DICOM Folder should be filled with DICOM files that each represent a slice of the scan. For DICOM Folder, select the folder itself and not all the slices inside of it.
Once the relevant files have been selected, click on “CONTINUE”.
Disclaimer: Not each box should contain a file. You can select only a CBCT oronly an IOS. You can also upload multiple images at once to created Fused files. Facial scans require the user to also upload a DICOM.


Choose a name for the Virtual Patient and click “UPLOAD”. Optionally click on Options and select the structures to segment in order to choose which parts of the CBCT will or will not be automatically segmented by the AI. .

When a DICOM Folder was selected, the page may freeze for a little while while the file is compressing. After that, a loading screen will appear in the bottom left corner.
Disclaimer: Do not refresh the page while the files are still uploading, because this will stop all files from uploading. Wait for all the files to state “Upload complete” before refreshing
Once the file is uploaded, wait 5 - 10 minutes for the AI to finish the segmentation. This duration is dependent on whether or not a CBCT was uploaded, which structures were requested for segmentation and the size of the files.
The file icon icon will indicate the state of the scan, when hovering over this icon you can see the status.

Fast File Upload:
Click the “Upload” - button under the New button inside the patient list
Select or add a new patient

Choose or add a collection the file should be uploaded to
Then upload your scans and finalise your upload
2.6 Activate Files
Once the scan is successfully segmented and registered, the file can be activated in order to allow for downloading the resulting segmentations in STL or DICOM format.
The activation can be done either from the Relu® Cloud or from the Relu® Creator. Every activation will require a different number of credits depending on the type of scans that have been processed.

Activation from Relu® Cloud:
Click the orange button with the checkmark to activate the file.


Activation from Relu® Creator:
Click the export button in the upper left corner next to the Relu icon. Then when hovering over the export pop-up, click on the yellow “ACTIVATE FOR — CREDITS” button to allow exports.


2.7 Request a feature or Report a bug
In case a user wants to request help, they can use the blue chat button in the bottom right corner to easily do so and notify Relu in a structured manner.


After clicking the blue chat button, several options appear:
- Book an onboarding or tutorial
- Request a new feature
- Receive help
- Report a problem
- Contact us
Depending on the selected option, the right people at Relu are contacted and will contact the user shortly after the request to provide an answer.
2.8 Referral Bonus
To receive a referral bonus, choose “referral bonus” in the dropdown-menu, then enter the email-address of the person you want to invite. If this person then buys a minimum of 50 Credits you will receive a referral bonus of 20 Credits.

3 PART III: RELU® CREATOR
Once a file has been opened from the Relu® Cloud, it will be shown inside of the Relu® Creator. Here, the segmentations and registration can be both reviewed and edited. Finally, once done, the resulting 3D models can be downloaded for further use in other software or 3D printing.
3.1 General Overview

Top bar:

From left to right, the top bar includes the dropdown menu, the export buttons, the problem report button, the save icon and the filename on the far right with a pencil-shaped button to edit it.
When selecting a certain tools, the settings for the tools will appear inside of this top bar.

Dropdown menu:
Press the Relu icon to access the dropdown menu. Through the dropdown menu you can access export options, the settings, a list of shortcuts, a playlist of YouTube tutorials for the Relu® Creator, your account settings and the option to log out.

To access a list of shortcuts open the dropdown menu and click shortcuts.

Viewer:
Inside the viewer, the 3D models can be inspected by rotating, moving and zooming on them. The viewer can also show DICOM slices from axial, sagittal or coronal view.
Tools:
The tools on the left side bar allow for editing the segmentation or registration of the virtual patient.
Side bar:
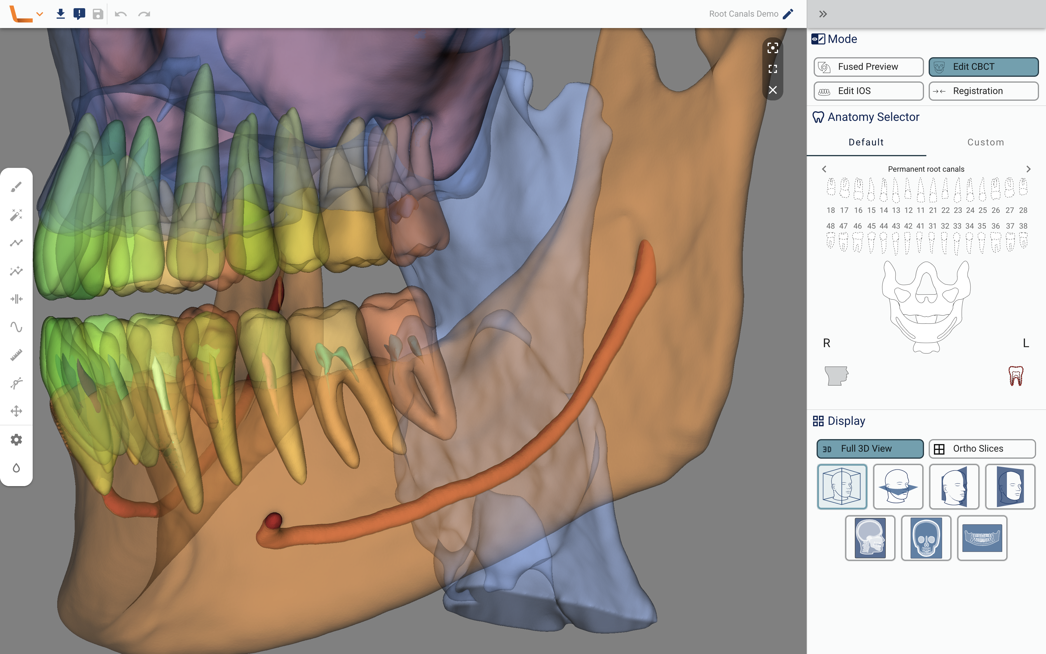
The side bar consists of 3 sections: Mode, Anatomy Selector and Display.
Modes:
Modes allow for choosing about what is being shown in the viewer as well as the anatomy selector and display settings. Modes show up depending on what types of scans were originally uploaded for this patient. If you uploaded IOS and CBCT, 4 modes will show up:
- Edit CBCT
- Edit IOS
- Registration
- Fused Preview
In case only a CBCT or only an IOS scan is uploaded, no modes are shown as only Edit CBCT or Edit IOS would be required.
Anatomy Selector:

The anatomy selector allows to select which structures are represented in the Viewer.
Clicking once will select that structure.
Double clicking on a structure will hide it.
Clicking while holding SHIFT will select multiple structures at once in a certain range.
Clicking while holding CTRL (or CMD) will select only the structures that were clicked on
A right click on the structure will open the options for hiding or making it opaque
Deciduous teeth and a mixed dentition are automatically recognized. To display and select the deciduous teeth, click on the arrow next to “permanent teeth” in the anatomy selector.

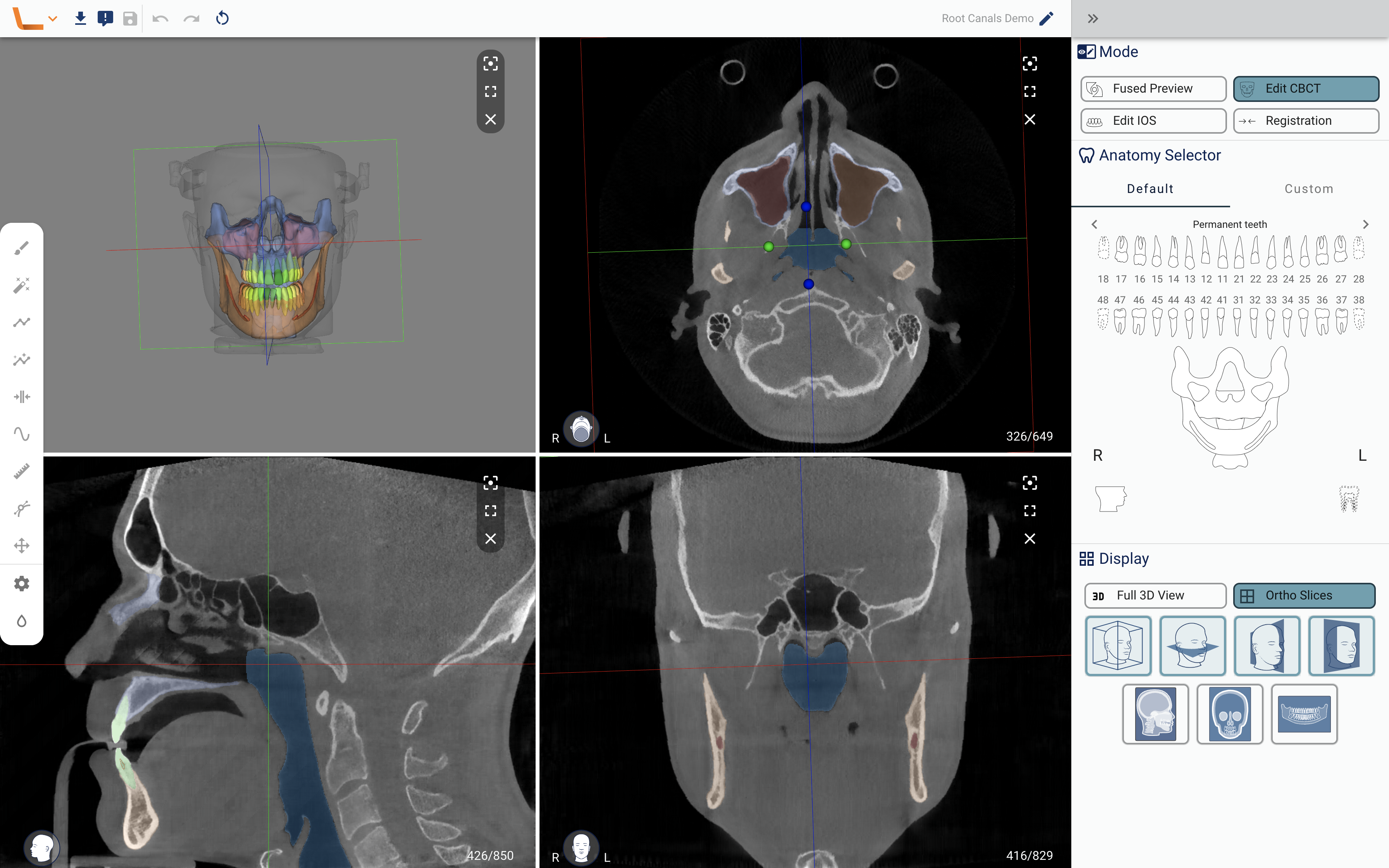
Display:
Particularly in CBCT mode and Registration mode, a variety of display option appear.

- Full 3D View: Show the 3D models of the virtual patient
- Ortho Slices: Show 3D models, axial, sagittal and coronal views
- Orthogonal views: Choose between Axial, Sagittal and Coronal view by clicking on the corresponding icons. The + sign will add this view to the Viewer while the Full Screen sign will only show this view in the Viewer.

- Lateral Cephalometric view: A ceph view is automatically generated from the CBCT

- Posterioanterior cephalometric view

- Panoramic view: A panoramic view is automatically generated from the CBCT

3.2 Fused Preview
The Fused Preview shows the combination of CBCT and Intra-oral scan segmentation and the registration of the facial scan, IOS and CBCT all together. Fused refers to the fact that the teeth in particular are fused together by having the crown coming from the IOS and the root from the CBCT to create very accurate tooth models.
The segmentation or the registration cannot be edited directly from the Fused Preview. These should be made from the other modes. Once these changes are made, use the “Recompute the fused models” button in the Viewer when in Fused Preview mode in order to see these changes reflected in the Fused Preview. This fusion computation can take several minutes to perform.


3.3 Edit CBCT Segmentation
The Artificial Intelligence models will generate a segmentation proposal for the selected CMF structures on the CBCT or CT. However, this segmentation might not be exactly like the user wanted, therefore all manual tools are present to manually change the segmentation. The classification of the structures can be changed in the anatomy selector by right clicking on a structure and choosing Change Label.

3.3.1 Normal Brush
The normal brush is a cylinder for which the diameter, height and direction can be changed to add or remove segmentations.
Open Edit CBCT Mode
Select one structure in the Anatomy Selector that has to be edited
Select at least one of the orthogonal views: axial, sagittal or coronal view
On the left, the tools will now be activated. Select the first tool which is the normal brush (Shortcut: 1)
In the top bar, change the size (diameter), the depth (height) and direction (current slice and up or current slice and down) of the cylinder.

Click and drag to add to the segmentation.
Press E or select the eraser icon in the top bar, to remove parts of the segmentation. The normal brush will turn red instead of green.

3.3.2 Adaptive Brush
The adaptive brush adapts its shape depending on the voxel intensities it sees around its location. The diameter, depth, tolerance and direction can be changed to add or remove segmentations. This makes it ideal to segment structures with similar voxel intensities.
Open Edit CBCT Mode
Select one structure in the Anatomy Selector that has to be edited
Select at least one of the orthogonal views: axial, sagittal or coronal view
On the left, the tools will now be activated. Select the second tool which is the adaptive brush (Shortcut: 2)
In the top bar, change the size (diameter), the depth (height), direction (current slice and up or current slice and down) and tolerance (sensitivity). The tolerance changes how large the range is, in which the adaptive brush includes voxels. The Sync toggle can be used to adapt the tolerance separately for lower and upper range of the voxel intensities compared to the location of the mouse. The Sync toggle is the right-facing position, the lower and upper is set to the same values.

Click and drag to add to the segmentation.
Press E or select the eraser icon in the top bar, to remove parts of the segmentation. The adaptive brush will turn red instead of white.

3.3.3 Contour Tool
The contour tool allows to create complex shapes by placing circles. By placing contours on different slices, an interpolation will be made and complex 3D shapes can be generated. This tools works well for segmenting teeth or filling up or freeing up canals or other spaces.
Open Edit CBCT Mode
Select one structure in the Anatomy Selector that has to be edited
Select at least one of the orthogonal views: axial, sagittal or coronal view
On the left, the tools will now be activated. Select the third tool which is the contour tool (Shortcut: 3)
In the top bar, change the mode (adapt, erase or paint (see below)) and choose the Spline deviation (number of circles that places to define a contour) or the Slice propagation (number of slices that are effected by changing the contour of 1 slice on order to create a smoother transition between slices)

Click and drag to move circles, click to add circles and right click to remove circles. The contour tool does not follow the order in which you click but rather assumes that 3 circles are placed first to define a rough contour and that the contour is then refined by adding more circles.
Choose a different mode whether you want to change the existing segmentation, want to erase parts of the segmentation or you want to add separate parts to the segmentation.
When the contours are as required, press APPLY to change the segmentation map.
The final accuracy and utility of the segmentation from the interpolated contours still depend on careful review and potential adjustment by the user.
Adapt Mode
Change an existing segmentation by adding (left click), moving (dragging) or removing (right click) circles that make up the segmentation.

Erase Mode
Erase all parts of the segmentation that lie inside of the contours.


Paint Mode
Add new parts to a segmentation by drawing the contours. The original segmentation map is not changed by drawing a separate contour.

3.3.4 LiveWire Tool
The LiveWire tool is a fast way to create accurate contours across a border with similar voxel intensities. The livewire tool searches the shortest path between two points that gives the most similar intensities across that border.
Open Edit CBCT Mode
Select one structure in the Anatomy Selector that has to be edited
Select at least one of the orthogonal views: axial, sagittal or coronal view
On the left, the tools will now be activated. Select the fourth tool which is the LiveWire tool (Shortcut: 4)
In the top bar, choose the mode depending on whether the goal is to add or remove parts of the segmentation map.

Place point across the border while allowing the LiveWire algorithm to find the optimal path. Press Enter or Space bar when pleased with the proposed contour. Please contours on several slices and the software will automatically interpolate between these la
When the contours are as required, press “APPLY” to change the segmentation map.

The final accuracy and utility of the segmentation from the interpolated contours still depend on careful review and potential adjustment by the user.
3.3.5 Thresholding Tool
The thresholding tools allow to select all voxels within a certain intensity range within a selected box.

Open Edit CBCT Mode
Select one structure in the Anatomy Selector that has to be edited
Select at least one of the orthogonal views: axial, sagittal or coronal view
On the left, the tools will now be activated. Select the fifth tool which is the thresholding tool (Shortcut: 5)
In the top bar, select the range of voxel intensities that should be included in the segmentation map. And choose whether or not the selected voxels should overwrite existing voxels belonging to other structures.

Drag the corners from the box to cover the required volume of the scan.
When the thresholding range and box are as required, press “APPLY” to change the segmentation map.
3.3.6 Nerve Tool
The nerve tool allows to easily create mandibular canal segmentation by drawing a cylinder segments that can have variable diameters.

- Open Edit CBCT Mode
- Select one of the mandibular canals in the Anatomy Selector that has to be edited
- Select at least one of the orthogonal views: axial, sagittal or coronal view
- On the left, the tools will now be activated. Select the sixth tool which is the nerve tool (Shortcut: 6)
- Start on one end of the mandibular canal and place the first circle. Change the diameter of this circle using the up and down key arrows.
- Click on “STEP 2” to verify the segmentation in the cross sectional views. Move through the different cross sections and change the segmentation where required by dragging the circles and changing their diamater.
- Move to “STEP 3” for a final check and adaptation in the other slices
- Finally, press “DONE” to generate the segmentation map and 3D model for the mandibular canal
The final accuracy and utility of the segmentation from the interpolated contours still depend on careful review and potential adjustment by the user.
3.3.7 Measurement Tool
- Open Edit CBCT Mode
- Select the structure you want to do measurements in
- Select at least one of the orthogonal views: axial, sagittal or coronal view
- On the left, the tools will now be activated. Select the seventh tool which is the measurement tool (Shortcut: 7)
- Place two clicks inside one orthogonal views to measure the desired distance.
- The distance is now displayed in the Top Bar

3.3.8 Panoramic Curve Tool
- Open edit CBCT Mode
- Select the axial view from the orthogonal slices
- On the left, the tools will now be activated. Select the eighth tool which is the Panoramic Curve Tool
- Drag one of the green circles in axial view to move the projection of the panoramic arch
- In the Top Bar select the thickness and height of the panoramic arch
- The resulting arch can be displayed through the selection of the “Panoramic Arch” view

Adjusting the outline of the panoramic arch will alter the projected image. The generated panoramic projection should always be evaluated in conjunction with the complete CBCT when used in treatment or preoperative planning.
3.3.9 Movement Tool
- Open edit CBCT Mode
- Select an uploaded custom structure
- On the left, the tools will now be activated. Select the ninth tool which is the Movement Tool
- To translate the structure hold one of the arrow heads and move the mouse in the desired direction
- To rotate the structure hold one of the rings and move your mouse in the desired direction
- When satisfied with the position click on “disable tool”

3.3.10 Reslicing
- Open the Fused Preview, edit CBCT mode or Registration mode
- select at least one view from the orthogonal slices
- click inside the orthogonal slice
- Two straight lines appear and represent the other two orthogonal slicing axes
- Click, hold and move one of the balls to alter the angle of the corresponding orthogonal slice
- The axes of the orthogonal slices shift accordingly

3.3.11 Custom Structures
To add a custom structure simply drag-and-drop it into the Relu® Creator. The following file types are supported:
- .stl
- .ply
- .obj
After you have added the structure, its outlines are visible in the ortho slices and it is listed in the “Custom“ Tab in the anatomy selector. Right click the structure to delete, hide or make it transparent.

3.4 4. Edit Intraoral Scan Segmentation
The Artificial Intelligence will create a proposal for the IOS segmentation when uploading an intra-oral scan or digital impression to the Relu® Cloud in STL or PLY format. The user receives full control to still change these segmentations by using two tools: 3D Contour Tool and 3D Paint Brush. The classification of the crowns can be changed by right clicking on a crown and choosing Change Label.
3.4.1 3D Paint Brush
The 3D Paint Brush is great for finetuning the segmentation or for cases which the 3D Contour Tool cannot be used. because of the below reasons:
- A bad IOS scan
- An orthodontic wire connecting the teeth
- The teeth are creating some sort of other type bridge that breaks the algorithm for the 3D Contour Tool
*in the above cases an error message will appear on the screen.
- Open Edit IOS Mode
- Select one crown in the Anatomy Selector that has to be edited
- On the left, the tools will now be activated. Select the first tool which is the 3D Paint Brush
- Select the correct mode (camera mode for viewing, paint mode or erase mode) and select the optimal diameter for the brush.
- Hold and drag to paint on the surface of the crown
- Hold space and drag to rotate the view in camera mode
- Use the E button to toggle between Paint and Erase mode. The brush will turn red in erase mode.

3.4.2 3D Contour Tool
The 3D contour tool is often a fast way to change the crown segmentation by adding, moving or deleting spheres from the contour.

- Open Edit IOS Mode
- Select one crown in the Anatomy Selector that has to be edited
- On the left, the tools will now be activated. Select the second tool which is the 3D Contour Tool
- Wait a few seconds for the contour to be calculated
- Hold and drag to change the position of then dots, right click to remove them and left click to add balls.
- In case there is not segmentation yet, start drawing the contour from scratch until you are back around to click again on the first placed ball.
3.5 Edit Registration
In certain cases, the registration algorithm might not have given optimal results and the user wants to change it manually or the user wants to simply verify the quality of the registration.
Verify Quality:
- Go to Registration mode
- Click on Ortho Slices to open the different views
- Scroll through the slices and verify if the yellow line corresponds nicely with the surface of the crowns on the CBCT

Manually change the registration:
Go to Registration Mode
In the Anatomy Selector, choose whether you want to register the upper or lower IOS
On the left, the tools will activate. Click on the first tool which is the registration tool (Shortcut: 1)
Place a point on the intra oral scan and then a point on the CBCT teeth at exactly the same location.
Repeat that process until you have placed at least 3 points.
Press the “ALIGN” button in the top bar

3.6 Export Files
Once you are happy with the segmentation and registration results and have activated the file, the resulting models can be exported in the following formats:
- .stl
- .dcm (only structures from CBCT mode can be exported in DICOM format)
- .ply
- .obj
- .glb
3.6.1 Export process
Click on the export button in the top bar next to the save button or open the setting by clicking on the Relu icon and click Export.


Select the view mode from which you want to export from

Select the desired structures

Select the desired export format

More Export options:

Choose if these structures should be exported as 1 combined file or if it should be exported as several separated files:
combined file:

separated files:



Choose if the exported files should be put in occlusion
in occlusion

not in occlusion

Choose if the polygon count should be reduced
full poly count:

reduced poly count:

Choose if the teeth should be exported as a closed mesh (IOS only):
By default segmented teeth from the IOS scan are exported as an open mesh:

If you choose “export teeth as closed mesh” in the export dialogue, the mesh is closed on export:

If you upload an IOS-Scan and activate the advanced option to “request closed crowns” while finalizing the upload, roots are added when exporting teeth as a closed mesh:

Choose orientation: The exports are oriented in LPS, for the export to be oriented in the “neurological” convention for axis select “export result as RAS coordinates”.
LPS

RAS

Confirm by pressing “Add to Selection”

You can then choose to download the export selection or to save the selection as a preset.

3.6.2 Presets
If there is an export that you have to perform regularly, presets can be helpful.
Access presets by selecting the presets tab. There, a selection of premade presets can be found and selected.

To create a custom preset, select the desired structures and click the “save as preset button”.

The naming and selection of structures will be taken over and a name for the preset can be set.

3.6.3 Scans
To attach the original scans to the export selection, select the “scans” tab and select the desired original scans, that are then automatically added to the download selection.

3.7 Change Settings
Several settings are available in order to optimise the user experience. These settings can be accessed by clicking the Relu icon in the top left corner and then selecting Settings.

3.7.1 3D Refresh Settings
- Automatically recalculate 3D: Check off this box will lower the load on your computer when manually segmenting data because it will no longer recalculate the shape of the entire 3D model each time a change is made to the segmentation map. The Recalculate 3D button will have to be used to generate the new model.
- Smooth after 3d refresh: if disabled, the structure will not resmooth after refreshing, and voxels are displayed
3.7.2 Other Settings
- Auto save: When trying out certain features without wanting to automatically impact the virtual patient permanently, Auto save can be unchecked. You can still manually save by clicking the save icon in the top bar.
- View navigation planes: This allows for turning off the planes that are shown on the 3D model that indicate the position of the axial, sagittal and coronal views.
- View bounding boxes: visualise the bounding box for each tooth
- Resliceable axes: en- or disable reslicing function

3.8 Report Segmentation problem
To report a segmentation problem click the icon in the Top Bar.

To narrow down the problem you have encountered with your segmentation, select one or multiple of the relevant options from the drop down menu. Optionally, further explain the problem.


If none of the options fit your problem, choose “other” and elaborate on the problem you encountered.
3.9 Additional Questions
For additional support or questions, please send a message to question@relu.eu
4 Part IV: RELU® Plan
Relu is offering treatment applications in BETA, not cleared for medical use. These treatment applications can be accessed through the cloud.
Relu® Plan is not cleared for Medical Use, neither in EU nor in US. This application should only be used for demonstration purposes.